
近日,38岁的加拿大友人Adam在合肥京东方医院泌尿外科科主任詹绍洋主任手术治疗和医护团队细心照料后,终于将8年的肾囊肿彻底治愈,在科主任的指导下和医护人员的帮助下,从住院前的焦虑困惑,到最后轻松出院,这位外籍小伙儿不由得竖起大拇指,点赞合肥京东方医院的医疗服务很有“国际范儿”!
Adam刚入院的时候告诉詹绍洋主任:其实8年前体检就发现左侧有肾囊肿,但当时并无什么不舒服的地方,也不影响生活,就没怎么在意了。
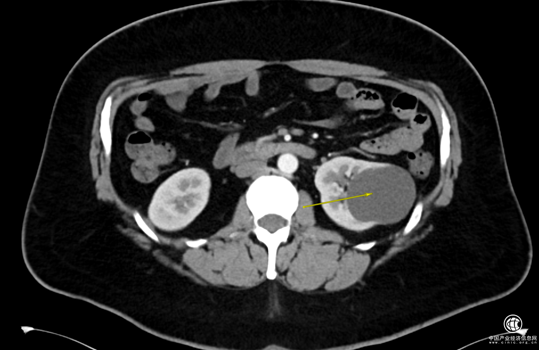
1个月前,Adam感觉到左侧腰背部偶尔会有阵发性胀痛不适的情况,于是做了泌尿系彩超,发现左肾的囊肿已经超过6cm了。

Adam甚至开始怀疑自己是不是得了肿瘤哦?
詹绍洋主任告诉Adam:“不要自己吓自己,肾囊肿不等于肿瘤!”
医生科普时间
肾囊肿是指肾脏内出现的大小不等、与外界不通的囊性肿块,一般没啥子症状,也不需要特殊治疗!
但是当囊肿超过4cm,就要做相应治疗了。
经过一系列的检查,詹绍洋主任诊断Adam是单纯性肾囊肿,安排住院。
入院当天Adam还有点咳嗽,经过胸部CT检查发现他有点肺炎症状,经呼吸科会诊,对他进行了抗感染治疗后,Adam不适症状消失。
接下来就要进入主题了——切除肾囊肿
詹绍洋主任决定在全麻下行腹腔镜下左肾囊肿去顶术,将肾囊肿囊壁进行切除,切除这部分囊壁后原先肾囊肿的完整性就被破坏,它的张力也就随之消失,切除囊壁的肾脏部位就基本不会再次积聚囊液产生压力从而再次形成囊肿。
术后,Adam恢复良好,第三天,Adam治愈出院。
体检时发现自己得了肾囊肿,
该怎么办?
小于4cm的单纯囊肿,每半年至一年复查超声或者CT即可;
大于4cm,或者有腰背部疼痛不适,或者囊肿压迫影响肾功能时候需要手术处理;
多囊肾患者需要积极就诊;
CT或B超显示有多房、有分隔、钙化、有实性成分等复杂囊肿,需进一步就诊。
囊肿,不一定就是癌症,甚至并不一定需要治疗
一旦发现肾囊肿,我们要去正规医院就诊,听听专业医生的判断和建议,再做决定。
最后,肾囊肿不是去肾脏内科,而是去“隔壁”的泌尿外科哦~~
千万不要跑错地方啦!

▲合肥京东方医院泌尿外科团队
这真是一篇走心又走肾的好文章哪~~
外国友人都点赞了,你也点个赞
再走呗
转自:凤凰网
【版权及免责声明】凡本网所属版权作品,转载时须获得授权并注明来源“中国产业经济信息网”,违者本网将保留追究其相关法律责任的权力。凡转载文章及企业宣传资讯,仅代表作者个人观点,不代表本网观点和立场。版权事宜请联系:010-65363056。
延伸阅读